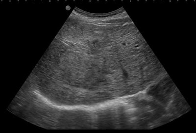
56세 남자 환자이며 만성 B형간염으로 비리어드를 복용하시는 분으로 간암검진으로 초음파를 시행하였는데 간의 우엽에 5cm 이상되는 종양이 발견되었다. 간실질은 간경변은 아니었으며 종양 주변에 저음영의 띠를 두른 듯한 모습이었다. (hypoechoic lim)
간세포암 내지 간담도암이 의심이 되어 바로 Liver dynamic CT 의뢰를 보내었는데 결과는 Cholangiocarcinoma 가 더 근접한 것으로 나왔다.
이분은 초음파를 마지막으로 시행한게 2년 전이었다고 하는데 좀더 자주 초음파를 시행했다면 좀더 초기에 발견할 수 있지 않았을까?
For Better Life..
ad
4.24.2017
1.23.2017
무증상 장결핵
건강검진 하면서 대장내시경을 같이 했던 53세 여자 환자분이다. 평소에 배변습관도 좋았고 복통이나 설사는 없었다고 한다.
대장내시경시 맹장(cecum)에는 염증성 용종이 다수 관찰되었고 회맹판(IC valve)는 열려있었으며 염증이 반복되어 섬유화 된 것처럼 보였다.
조직검사 결과는 "chronic ulcer with ill-defined granuloma, suspicious of tuberculosis" 로 내시경 소견과 일치하게 나왔다.
대장내시경시 맹장(cecum)에는 염증성 용종이 다수 관찰되었고 회맹판(IC valve)는 열려있었으며 염증이 반복되어 섬유화 된 것처럼 보였다.
| cecum |
| cecum, inflammatory polyp |
| Ascending colon, circumferential ulcer |
| Ascending colon, circumferential, nodular ulcer |
복부 CT에서는 다른 소견은 관찰되지 않았다.
일반적으로 장결핵은 폐결핵을 가지고 있던 환자가 객담을 삼키는 경우에 균체가 림프조직이 풍성한 상행대장에서 증식하는 경우가 많은데 이 분의 경우에는 흉부방사선 사진에서 비활동성이지만 폐결핵을 앓았던 흔적이 발견이 되었다.
12.23.2016
HCV Ab
건강보험 공단에서 공문이 하나 왔는데 내년부터 생애전환기 검사에서 만성 C형간염 검사가 포함된다는 것이다. 지금까지는 HCV 검사는 환자가 검사 하고 싶다고 해서 할 수 있는 검사가 아니고 공단에서도 삭감을 많이 시키는 항목이어서 간수치가 높고 B형간염 검사에서 음성으로 나온 경우에 급여로 해주는 상황인데...
물론 이것은 바뀐 것은 아니고, 건강검진 할 때, 그것도 만 40세, 만 66세에 도달하는 사람에 한해서 시행하는 생애전환기 검사에서 HCV Ab 검사를 해준단다.
12.17.2016
평평한 병변의 위암
검진으로 위 내시경을 시행하신 66세 여자 환자이다. 내시경에서 body의 lesser curvature 전반에 걸쳐서 위축성 위염처럼 보이는 부분이 관찰되었으며 약간 점상 출혈도 관찰이 되어 조직검사를 시행했는데 결과는 adenocarcinoma, poorly differentiated 로 나왔다.
이 병변은 평평한 IIb 병변이고 아주 넓어서 그냥 위축성 또는 미란성 위염으로 생각하기 쉬운 병변이다.
11.18.2016
갑상선 유두암 (papillary thyroid cancer)
갑상선 초음파에서 결절이 관찰되었는데 경계가 불규칙적이고 높이가 11mm, 너비 6mm, (taller than wide), 결절은 저에코로 관찰되었다. 미세 석회화는 관찰되지 않았다.
이것은 갑상선 암을 시사하는 소견이기도 하다.
세침흡입세포검사를 시행하였고 결과는 다음과 같다.
Thyroid gland, right, aspiration cytology;
Limited by low cellularity & degeneration
Malignancy suspicious (By Bethesda System)
--It is suspicious papillary carcinoma.
그런데 정부에서 발표한 권고안대로 증상이 생길 때까지 검사나 수술을 기다리는 것은 위험할 수도 있다. 암이라는게 조기에 발견해서 치료하는 것이 목표인데 증상이 생길 때까지 검사를 미루거나 수술을 미루는 것은 치료를 더디게 해서 완치 기회를 놓치게 할 수도 있을 것같다.
9.05.2016
책을 읽고 (라오스에 대체 뭐가 있는데요?)
"여행이란 그런 겁니다. 그곳에 무엇이 있는지 이미 알고 있다면, 아무도 굳이 시간과 노력을 들여 여행을 가진 않을 겁니다. 몇 번 가본 곳이라도 갈 때마다 '오오, 이런 게 있었다니!' 하는 놀라움을 느끼기 마련입니다. 그것이 바로 여행입니다.
여행은 좋은 것입니다. 때로 지치기도 하고 실망하기도 하지만, 그곳에는 반드시 무언가가 있습니다. 자, 당신도 자리에서 일어나 어디로든 떠나보세요".
- 라오스에 대체 뭐가 있는데요? (무라카미 하루키) - 후기에서...
여행을 다녀온 작가의 글을 읽으면 그곳에 가고 싶은 충동이 생긴다. 라오스도 다시 가보고 싶은 여행지 중의 한 곳이다. 지금 당장 갈 수 있다면 어딜 갈까?
여행은 좋은 것입니다. 때로 지치기도 하고 실망하기도 하지만, 그곳에는 반드시 무언가가 있습니다. 자, 당신도 자리에서 일어나 어디로든 떠나보세요".
- 라오스에 대체 뭐가 있는데요? (무라카미 하루키) - 후기에서...
여행을 다녀온 작가의 글을 읽으면 그곳에 가고 싶은 충동이 생긴다. 라오스도 다시 가보고 싶은 여행지 중의 한 곳이다. 지금 당장 갈 수 있다면 어딜 갈까?
8.19.2016
폐결핵
33세 남자 환자였으며 키는 170정도 되고 몸무게는 48kg 으로 매우 마른 편이었다. 일주일 전 감기가 있어 치료해서 나았는데 마른기침이 계속 있다고 해서 내원했다. 청진에서는 이상소견은 들리지 않았다. 일주일째 지속하는 기침이었기 때문에 흉부 X-ray 검사를 했는데 폐의 우측 상부에 이상소견이 발견되었다.
특히 폐의 상부에 지저분하게 음영이 증가되어 있는 소견을 보이는 경우는 폐결핵을 강력하게 시사하는 소견이라 흉부 CT를 찍어 보니 그 소견도 동일하게 활동성 폐결핵을 시사한다고 했다.
객담검사를 하지 않았지만 바로 Tb medication 을 시작하였다.
요즘 뉴스에서 폐결핵, 후진국 병이라고 하는 감염병이 계속 발생한다는 기사가 난 적이 있는데 면역성이 떨어지거나 허약한 사람에게서 결핵이 계속 발생하는 것같다.
약 용량은 아래 표를 참고로...
특히 폐의 상부에 지저분하게 음영이 증가되어 있는 소견을 보이는 경우는 폐결핵을 강력하게 시사하는 소견이라 흉부 CT를 찍어 보니 그 소견도 동일하게 활동성 폐결핵을 시사한다고 했다.
객담검사를 하지 않았지만 바로 Tb medication 을 시작하였다.
요즘 뉴스에서 폐결핵, 후진국 병이라고 하는 감염병이 계속 발생한다는 기사가 난 적이 있는데 면역성이 떨어지거나 허약한 사람에게서 결핵이 계속 발생하는 것같다.
약 용량은 아래 표를 참고로...
피드 구독하기:
덧글 (Atom)
